Emergency dentistry is like the special ops of oral care—fast, focused, and ready when pain strikes.
Next
Next
Emergency dentistry is like the special ops of oral care—fast, focused, and ready when pain strikes.
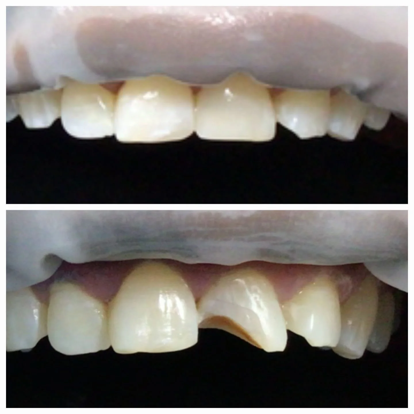
Class IV fractured central incisor requiring immediate restoration.
Severe pain due to loss of tooth structure beneath the gumline, also known as abfraction. Repaired with glass ionomer (GI). Surgical approach.
Bleeding was controlled, and the wound was sutured in layers to restore both function and appearance.
Repaired with composite bonding and splinted using 0.016" wire, as per International Association of Dental Traumatology (IADT) Guidelines, 2020.
A temporary composite crown was placed to alleviate the patient’s dentinal sensitivity during their holiday period. Made in the dental chair.
Exposed nerve after trauma for over 24 hours requiring RCT, and templolary crown with composite bonding.