Every surgery is a unique journey—no two procedures are the same, just as no two patients are alike. Each one is a precise blend of science, skill, and compassion.
Previous
Previous
Every surgery is a unique journey—no two procedures are the same, just as no two patients are alike. Each one is a precise blend of science, skill, and compassion.
Class I Grade B
90 degrees root angulation
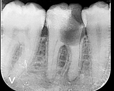
Severe decay. Tooth in 2 parts. Possible to save via hemisection.
Wisdom Tooth Class I Grade A and surgical removal of second molar.
Complicated Surgical Extraction of Upper Right Retained Roots
Complicated Surgical Extraction of Upper Left Retained Roots
Horizontally impacted lower wisdom tooth with roots encasing the nerve — a high-risk case managed successfully without complications
Horizontally impacted lower wisdom tooth with roots close to the IAN.